
For top-quality, professional, and friendly dental care, our clinic is the perfect choice.
Trusted by 10K+ people
We offer top-quality dental care at competitive prices, ensuring affordability without compromising on excellence.
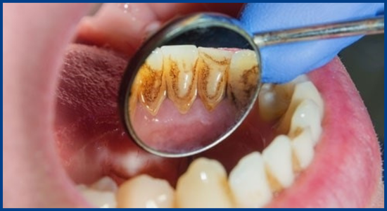
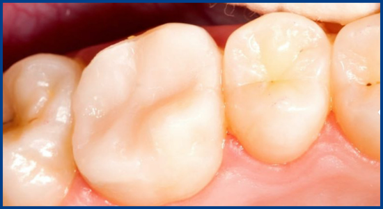
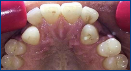
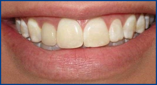
is a safe and effective way to brighten your smile by removing stains and discoloration. At our clinic, we offer professional whitening treatments that deliver fast, long-lasting results. Whether for a special occasion or everyday confidence, our expert care helps you achieve a radiant, healthy-looking smile.
is a common dental procedure to remove damaged, decayed, or impacted teeth, preventing further complications. Our clinic provides safe, painless extractions with expert care and advanced techniques. Whether for wisdom teeth removal or oral health improvement, we ensure a comfortable experience and smooth recovery for every patient.
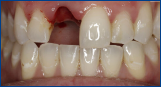
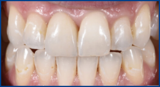
are a permanent solution for missing teeth, restoring function and aesthetics with a natural look and feel. Our clinic offers advanced implant procedures for a secure, long-lasting smile. With expert care and precision, we help you regain confidence and improve oral health.
Experience gentle, pain-free dental care in a relaxed environment.
Personalized, professional dental treatments for a healthier smile.
Regardless of your situation, you can feel comfortable with our team
Achieve a brighter, more confident smile with our expert care.
At Dental Planet, our vision is to redefine dental care by providing a patient-centered, safe, and welcoming environment. We aim to be a leading dental clinic known for innovation, transparency, and excellence—ensuring every patient receives personalized, high-quality care supported by advanced technology and an expert team.
Our mission at Dental Planet is to deliver comprehensive dental solutions with integrity and compassion. We are committed to:
Our difference is our perspective on dentistry; We change the lives of every person we touch and help them start a new, happier, and a more comfortable life.
This is our greatest accomplishment for us.












Dental Planet was founded by established specialist dentists in different branches of dentistry, hygienists, nurses and with one of the best technical team in the world with decades of experience, working in a very high standard laboratory, equipped with the latest technology, high-quality instruments and materials.